Our new Oral Hygiene system has improved our ability to help patients keep their teeth clean while in braces because it not only shows patients and their parents what happens if they don't brush, but it also helps them understand the progression of gingivitis. We grade every patient on their brushing at each appointment. We teach the circular scrub method, because this the quickest, easiest way to achieve the ultimate goal, GETTING ALL SURFACES OF EVERY TOOTH CLEAN AT LEAST THREE TIMES A DAY. You must not only clean the biting surface, but also above the braces, where the teeth and gums come together. Flossing is the only way to clean between the teeth. We show with pictures and words what happens when the teeth don't get cleaned at least three times a day. The first picture (Grade A) gives an example of excellent hygiene.
Grade A
- Coral pink color, flat contours and papillae (gums between teeth) pointed.
- Space between the braces and gums.
- Gums can stay healthy with a minimum amount of effort.
- NOTE: This patient had been in braces 9 months when these photos were taken.
With B hygiene, there still is space between the tooth and gums but redness and mild puffiness indicate inflammation (infection). While not obvious, it's the beginning of a problem and getting back to an A is relatively easy.
Grade B
- Dark pink at the gum margins shows beginning of infection (gingivitis); contours beginning to swell and papillae not pointed.
- Still some space between the braces and gums.
- Gums may be a little sore when brushing, but it's still possible to move back toward an "A" with good brushing and a little extra effort.
If cleaning doesn't improve, however, you will continue down the pathway toward a C (swollen gums).
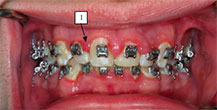
Grade C
- Gums swollen and "baggy," bleed easily, and are sore. Usually have bad breath.
- Space between the braces and gum is gone.
- Difficult (but not impossible) to get the toothbrush under the gums to clean teeth.
- Still possible to move toward an "A" but requires major effort and professional help.
We will likely recommend taking the braces off before you get to a D. By understanding the pathway, you can understand and choose which direction to take and we can help you address the problem before it gets difficult to fix. It helps our entire staff consistently send the exact same message to each and every patient and parent.
Grade D
- Margins deep pink indicating severe inflammation. Gums swollen and bleed easily.
- Virtually impossible to clean and hurts to brush. Treatment likely to be discontinued.
- Gum surgery may be required and although areas beneath braces are protected, permanent "scars" (beginning cavities) can occur in uncovered areas.
We have produced a one page summary of our oral hygiene sheet, which is being used by orthodontists all over the United States and Canada. For ordering information, please send us an email to .
